



Общая информация
Почесуха, или пуриго, - это кожное заболевание, которое сопровождается зудом и появлением на коже небольших узелков с пузырьками в центре. Зуд приводит к постоянному расчесыванию высыпаний, из-за чего появляются глубокие экскориации. Отличительная черта почесухи заключается в том, что сыпь располагается на разгибательных частях конечностей, не затрагивая при этом сгибательные.
Причины возникновения почесухи
Основная причина развития почесухи – это повышение чувствительности клеток, или сенсибилизация, которая приводит к возникновению аллергического воспаления в коже. В основном чувствительность клеток повышают пищевые продукты. У младенцев это белок материнского или коровьего молока; у детей – мучные продукты, грибы, цитрусовые, яйца, клубника, шоколад и рыба; у взрослых – пряности, острое, алкоголь, кофе, мед и копчености.
Дети, склонные к аллергическим реакциям, также склонны к почесухе. И у взрослых, и у детей дисбактериоз, глистная инвазия и дискинезия желчевыводящих путей могут привести к почесухе. У взрослых почесуху иногда провоцируют нервные расстройства, а также другие заболевания: цирроз печени, хронический гепатит, холецистит, опухоли внутренних органов, сахарный диабет и другие.
Некоторые дерматологи считают, что почесуха возникает из-за укусов насекомых. Эта гипотеза еще не доказана, однако ее подтверждает то, что почесухой болеют в основном в сельской местности, а сезонность совпадает с сезонами активности насекомых. Однако точных подтверждений еще не существует.
Симптомы почесухи
Детская почесуха
При этом виде почесухи на коже появляются рассеянные и обильные высыпания в виде небольших 5-тимиллиметровых узелков. Со временем на их поверхности появляются пузырьки, которые лопаются и оставляют после себя покрытые корочками точечные эрозии. Кроме разгибательных конечностей сыпь располагается на лице и туловище, а иногда и на коже подошв и ладоней. Вокруг этих папул образуется воспаленный ободок.
У детей, заболевших почесухой, наблюдается плохой сон, капризность, повышенная раздражительность и плаксивость. Симптомы бывают вызваны как зудом, так и врожденной неустойчивостью нервной системы.
Если из питания ребенка исключить детские смеси и коровье молоко, то симптомы почесухи могут пройти самостоятельно. Однако изредка почесуха может переходить в пруригинозную экзему, атопический дерматит или почесуху взрослых.
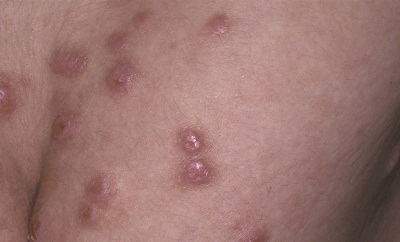
Взрослая почесуха
У взрослых во время почесухи появляются узелковые высыпания на коже спины, ягодиц, живота и разгибательной поверхности конечностей, а вот лицо как правило не затрагивается. Для почесухи у взрослых характерны конические или полушаровидные папулы красновато-бурового цвета размером до 5 миллиметров. Вместе с ними иногда появляются папулы, которые отличаются красным цветом и очень сильным зудом.
У взрослых почесуха имеет хроническое или острое течение. При хронической почесухе к обычным симптомам со временем присоединяется эмоциональная нестабильность, раздражительность и нарушение сна.
Узловая почесуха
Для узловой почесухи характерно хроническое и длительное течение. В этом случае на туловище, руках и чаще всего на ногах появляются полушаровидные папулы размером до 15 миллиметров.
Лечение почесухи
Для лечения почесухи главное – соблюдать диету. Детям для снижения повышенной чувствительности перед приемом материнского молока необходимо перед кормлением давать 10 капель сцеженного молока. Также при почесухе нужно раньше включать в рацион творог, морковный сок и кефир. А кормящим и беременным женщинам следует избегать употребления солений, свинины, рыбы, яиц и цитрусовых.
Взрослым и детям более старшего возраста, которые страдают почесухой, стоит употреблять кисло-молочные продукты, подсолнечное масло, отварную говядину, овощи и фрукты.
В лечении также применяют ферменты, улучшающие пищеварение, витамины А, В и С, антигистаминные средства, седативные медикаменты и препараты кальция. Также больному показаны лечебные ванны с отварами ромашки, череды, коры дуба или отрубями. Иногда в качестве дополнительного лечения применяются крема и мази с глюкокортикоидами.
Кроме этого, для лечения почесухи применяются физиотерапевтические процедуры: электросон, микроволновую терапию, индуктотермию, лекарственный электрофорез и другое.