Общая информация





Контагиозный моллюск – это инфекция, которая проявляется в виде небольших узелков, образующихся на коже. Чаще всего моллюска можно наблюдать у детей возрастом до 10 лет. Контагиозный моллюск передается через прикосновения или при контакте с личными предметами больного. Взрослые также могут заразиться половым путем.
Инкубационный период заболевания – от 2-х недель до нескольких месяцев. С научной точки зрения заболевания не имеет никакого отношения к моллюскам и вызывается вирусом, который похож на вирус оспы. Люди с ослабленным иммунитетом более восприимчивы к заболеванию. Высыпания обычно появляются на руках, туловище или лице. При заражении половым путем поражаются половые органы, внутренняя сторона бедер и нижняя часть живота. Иногда контагиозный моллюск вызывает кератит или конъюнктивит. Люди с нормальной иммунной системой иногда излечиваются сами.
Симптомы
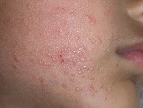
Узелки, возникающие на кожу, выглядят как полусферы с углублением в центре. Обычно они располагаются отдельно, но иногда объединяются и образуют большие бляшки. Чаще всего они безболезненны и только немного зудят. По цвету узелки либо розоватые, либо вообще не отличаются от здоровой кожи.
Если на узелок надавить, то из него выделится белая масса, по консистенции напоминающая творог. Если рассмотреть массу под микроскопом, то можно увидеть клетки с напоминающими моллюсков включениями – что, собственно, и дало название болезни. Из-за самозаражения узелки нередко распространяются на здоровую кожу. Если к контагиозному моллюску присоединяется бактериальная инфекция, то высыпания воспаляются.
Лечение
Цель лечения – удалить с кожи больного высыпания. В особенно сложных случаях для этого даже применяются противовирусные препараты и антибиотики. В более легких случаях узелки выдавливаются с помощью пинцета или выскабливаются ложечкой. После этого раны обрабатывают йодом. Нередко применяется выжигание лазером, замораживание жидким азотом и лечение высокочастотным электрическим током.
Врач-дерматолог выдавливает узелки с помощью пинцета или выскабливает специальной ложечкой, после чего обрабатывает ранки йодом. Также для удаления контагиозного моллюска применяют замораживание жидким азотом (криодеструкция) и выжигание лазером. Кроме того, используют высокочастотный электрический ток (электрокоагуляция).
Лечение контагиозного моллюска по народной медицине
Самоизлечение заболевания можно ускорить народными методами. Узелки следует ежедневно смазывать соком чистотела. Также помогает мазь, состоящая из растертой головки чеснока и чайной ложки сливочного масла. Можно также применять настой череды, мазь календулы и черемуховый сок.
Комментарии пользователей
Валерия
25 марта 2013 г.Добрый день! В первую очередь хочу успокоить родителей - моллюск вылечивается без помощи иголки! Сколько мы настрадались из-за него, но как оказалось, все преодолимо. У нас был контагиозный моллюск пол года. Врач дерматолог на приеме показала как убирать при помощи иголки. Убрать то мы смогли несколько штук но было столько слез и через некоторое время они опять вылазили. На сайте я нашла отзыв (спасибо тому человеку) что хорошо помогает мазь. Вот как мы справились: оксолиновая мазь (обязательно 3%!!!) пару раз в день. Особенно вечером перед сном. НЕ купать! Мыться просто в душе. Нижнее белье менять каждый день, тщательно проглаживать. Еще важно смазывать йодом вокруг ранки 1-2 р. в день. Это весь секрет. Мазь действительно хорошо помогает. Поначалу могут появиться еще, но когда новые смазываешь они заживают буквально за несколько дней. И самое главное - я верила всем сердцем что исцеление уже наступает, я представляла как кожа моей дочки здорова и совершенна. Желаю всем скорейшего выздоровления!
Ответить