Общая информация




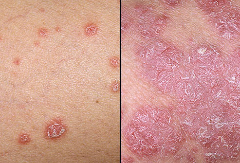
Псориаз, или чешуйчатый лишай – это хроническое кожное заболевание, сопровождающееся появлением на коже красных приподнятых пятен, которые покрыты белыми чешуйками. Псориаз наблюдается у 3% населения Земли.
Обычно у людей здоровые клетки кожи отшелушиваются раз в месяц. Однако у тех, кто страдает псориазом, отмерший верхний слой кожи заменяется новыми клетками с нижнего слоя намного быстрее. Клетки перемещаются в течение всего лишь нескольких дней, и в результате этого кожа воспаляется и утолщается. Так и образуются псориатические бляшки.
Обычно эти пятна, которые бывают разного размера, располагаются на локтях, коленях, волосистой части головы, на ягодицах и в нижней части спины. Они сильно зудят, особенно когда располагаются в складках кожи. Псориаз часто поражает ногти ног и рук. Изредка заболевание вызывает псориатический артрит – воспаление суставов.
Чаще всего псориаз проявляется уже в зрелом возрасте, хотя иногда он встречается и у детей. К развитию заболевания более склонны люди, у которых кожа изначально сухая и чувствительная. Первые бляшки появляются на поврежденной коже. Псориаз не заразен и не передается ни через предметы обихода, ни через прикосновения.
До сих пор ученые не могут установить причину возникновения псориаза. Считается, что в развитии патологии немалую роль играет генетический фактор, и что псориаз является аутоиммунным заболеванием.
Заболевание протекает в хронической форме, с иногда возникающими обострениями. У разных людей ухудшения вызывают разные вещи – это могут быть какие-то медикаменты, курение, алкоголь, сухая и холодная погода, стрессы и т.п.
Лечение псориаза
Каждому пациенту, в зависимости от характера заболевания, подбирается индивидуальное лечение. Терапевтические методы приходится изредка менять, так как постепенно псориаз становится устойчив к ним. У многих фармацевтических препаратов наблюдаются тяжелые побочные эффекты, поэтому при не слишком сильной болезни врачи обычно назначают менее действенные, но и менее токсичные способы лечения.
Легкой формой псориаза считается поражение 3% кожи, средней – до 5%, а тяжелой – более 10%. За 1% принимается ладонь.
Местное лечение псориаза
Нередко на легкой стадии болезни назначают витаминное лечение. Обычно это кремы и мази с витамином D, ретиноидами, стероидами и салициловой кислотой. Не меньшим эффектом обладают шампуни и кремы с каменноугольным дегтем. Из-за побочных эффектов применять препараты нужно под строгим контролем врача. Также облегчают страдания густые кремы с увлажняющим эффектом.
Фототерапия
Если форма заболевания более тяжелая, можно попробовать пройти фототерапию, так как солнечный свет способствует улучшению состояния пациента. Фототерапия – это облучение пораженных участков ультрафиолетом. Единственный недостаток фототерапии заключается в том, что она может вызвать рак кожи.
Системное лечение псориаза
При наиболее тяжелых формах заболевания врач может назначить таблетки или уколы. Однако эти лекарства подавляют иммунную систему и нередко вызывают заболевания органов.
Комментарии пользователей
Виктория
27 марта 2015 г.Какие спа процедуры можно делать при псориазе???
Ответить
Мария
1 марта 2013 г.Добавлю: чтобы системно лечить псориаз, необходимо принимать препараты, которые иммунитет повышают, а не уколы, которые его подавляют!!! Есть же, например, ликопид! Отличный иммуностимулятор. Начните с него!
Ответить