Общая информация





Болезнь Реклингхаузена – это тяжелое наследственное системное заболевание, которое поражает не только кожу человека, но и нервную систему. Болезнь еще называют нейрофиброматоз первого типа.
Причины болезни Реклингхаузена
Это заболевание передается по наследству я связано с мутацией определенного гена 17-й хромосомы. В равной степени заболеванию подвержены как женщины, так и мужчины.
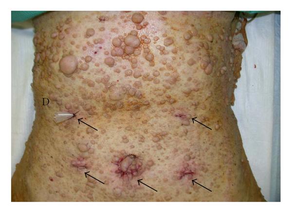
Симптомы болезни Реклингхаузена
Основными признаками заболевания являются:
- костные изменения,
- кисты,
- опухоли и пятна на слизистых и коже.
Пятна различаются по величине: они могут быть микроскопическими или занимать большую часть туловища, лица или конечности. Также пятна отличаются по окрасу: встречаются черные, светло-коричневые, розовые, голубые, ярко-красные и даже бесцветные пятна. Если болезнь поражает только внутренние органы, то пятна на коже нередко отсутствуют.
Лечение болезни Реклингхаузена
При сильной боли, появлении язвы на месте опухоли или сдавливании узлами органов применяется хирургическое лечение. Если узлов много, то иссечение одного может привести к прогрессированию заболевания и увеличению числа и размеров других опухолей.






Комментарии пользователей
вера
8 августа 2013 г.У меня нейрофиброматоз болезнь реклингхаузена обращаюсь к вам за помощью помощь мне избавиться от этой болезни
Ответить